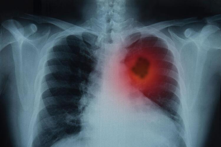
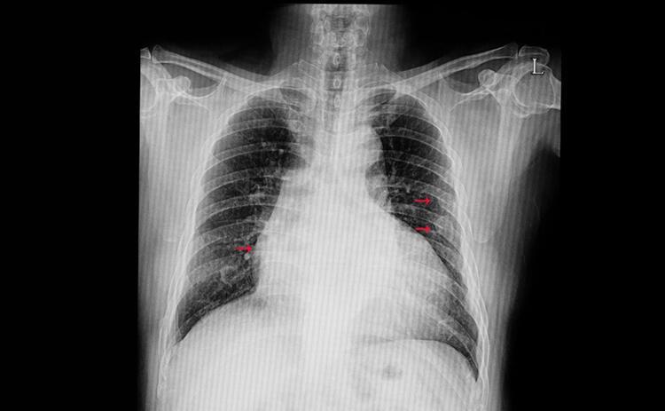
- Akciğer kanseri, dünya çapında yaygın kanser türlerinden biri olarak ön plana çıkıyor. Akciğer kanseri son yıllarda hem gelişmiş hem de gelişmekte olan ülkeler için önemli bir ölüm nedenidir. Tütün ve tütün ürünleri kullanmak akciğer kanserinin en büyük risk faktörlerinden biridir. Akciğer kanseri erken teşhisi için basit bir parmak testini yapabilirsiniz.
18
- Akciğer kanseri, dünyada en yaygın üçüncü kanserdir ve her geçen yıl hastalık daha yaygın hale geliyor. Her yıl yaklaşık 46.400 kişiye teşhis konuyor. Geçtiğimiz yılın Sağlık Bakanlığı verilerine göre, Türkiye’de yılda ortalama 23 bin erkeğe ve 4 bin 500 kadına akciğer kanseri teşhisi konuluyor.
28
- AKCİĞER KANSERİ NEDİR? Küçük hücreli olmayan akciğer kanseri (KHDAK) veya küçük hücreli akciğer kanseri (SCLC) olmak üzere iki ana Akciğer kanseri türü vardır. Bazen kanser vücudun başka bir yerinden akciğerlere yayılabilir. Buna akciğer metastazı veya ikincil akciğer kanseri denir. Akciğer kanserinin erken belirtilerini bilmek, riskinizi belirlemenize yardımcı olabilecek Schamroth pencere testi olarak bilinen evde yapılan bir parmak testi ile ortaya çıkabilir.
38
- ELMAS TESTİ NEDİR, NASIL YAPILIR? Akciğer kanserini teşhis edebilmenin en basit yollarından biri elmas testi olarak da bilinen Schamroth pencere testidir. Elmas testi, akciğer kanserini erken tespit etmeyi amaçlayan basit bir uygulamadır. Elmas testi, bir kişinin tırnakları arasında elmas şeklinde bir boşluk olup olmadığını kontrol etmek için tırnaklarını bir araya getirmesini içerir.
48
- Bu test için kütikülleriniz arasında elmas şeklinde bir boşluk olup olmadığını görmek için tırnaklarınızı bir araya getirmeniz gerekiyor. Eğer yoksa, bu parmak çomaklaşmasını gösterir. Parmak çomaklaşması, parmak uçlarının büyüyerek tırnakların kıvrılmasına neden olmasıdır. Parmağın çomaklaşması, parmak uçlarının kademeli olarak şişmesiyle oluşur. İlk ortaya çıkan şey, tırnağın tabanının yumuşaması ve tırnak yatağının yanındaki cildin parlamasıdır. Daha sonra tırnaklar normalden daha fazla kıvrılmaya başlar, bu da yandan bakıldığında görülür. Son olarak parmakların uçları büyür ve şişmeye başlar.
58
- Son aşamanın parmakların yumuşak dokularında sıvı toplanması nedeniyle oluştuğu düşünülmektedir. Akciğer kanseri teşhisi için en kısa zamanda doktorunuza başvurun.(Posta)
68
78
88


Flipboard





