- Siyah çay ülkemizde en çok tüketilen içecekler arasında geliyor. Kahvaltıların vazgeçilmezi, yemek sonrası keyfin ilk akla gelen ismi olan siyah çay, sağlık için de oldukça faydalı olduğu kadar zararları da mevcut. Peki, siyah çayın bilinmeyen faydaları ve zararları neler?
17
- Dünya nüfusunun yüzde 26’sı yüksek tansiyona sahip ve bu da bazı ciddi sağlık sorunlarına yol açar. Etkisi az olsa da, araştırmalar düzenli olarak siyah çay içmenin yüksek tansiyonu azaltmaya yardımcı olabileceğini gösteriyor.
27
- Kolesterole yardımcı olabilir… Her 3 yetişkinden 1’inde yüksek kolesterol vardır. Ancak erkekler kadınlardan daha yüksek risk altındadır. Bu bağlamda araştırmacılar, beslenmenize siyah çayın dahil edilmesinin kolesterol seviyenizi önemli miktarda düşürebileceğini keşfettiler.
37
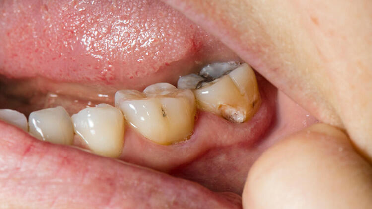
- Çürüklerle savaşabilir… Siyah çay, genel ağız sağlığına çeşitli faydalar sağlayabilir. Özellikle boşluklara neden olan bakterileri öldüren bileşikler içerdiği bulunmuştur. Bu yüzden çürüklerle savaşacak güçtedir.
47
- Diyabeti önlemeye yardımcı olabilir. Yaklaşık 422 milyon insan şeker hastalığından muzdarip. Araştırmalar, siyah çay tüketiminin kanınızdaki şeker miktarını azalttığını ve dolayısıyla bu hastalığa yakalanma şansınızı düşürebileceğini buldu.
57
- Siyah çay baş ağrısına neden olabilir… Her gün çok miktarda siyah çay içmek yan etkilere de neden olabilir. Özellikle baş ağrısı, migren ve sinirlilik en büyük belirtiler arasındadır. Bunların hepsi yüksek kafein içeriğinden kaynaklanır.
67
- Aynı zamanda endişe ve uykusuzluğa neden olabilir… Siyah çay bir enerji artışı sağlasa da, aşırı tüketildiğinde endişe ve stres seviyenizin yükselmesine neden olur. Ayrıca uyku döngünüzü bozabilir ve uykuya dalmanızı olumsuz etkileyebilir. (Milliyet)
77


Flipboard





