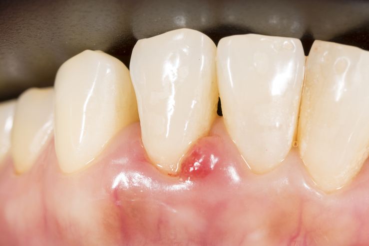
- Gün içerisinde gargara ve diş fırçalama yaparak diş eti iltihaplarına diş eti çekilmesine ve diş kanamalarına engel olun. Doğal Dağ Kekiği Hakkında Baharatlar özellikle kokuları ve aramaları ile ön plana çıkarlar.
17
- Dağ kekiği bir çok bölgede, yörede kendiliğinden yetişir. Özellikle güneşli bölgelerde ve taşlı yerlerde çok bulunur. Kullanım açısından et yemeklerinde özellikle yumurta ile ve tabi ki hemen hemen tüm yemeklerde aroma ve tat vermesi için belki de en fazla kullandığımız baharat türüdür.
27
- Marketlerde satılan paketli kekikleri kullanmak yerine mutlaka kendiniz topladığınız veya aktarlardan pazardan temin edebileceğiniz dağ kekiği kullanırsanız hem arama olarak hem lezzet olarak hem de özellikle fayda olarak çok fark edecektir.
37
- Dağ kekiği bu kullanımları haricinde alternatif tıp alanında doğal tedavileri olarak da çok ön plana çıkan bir baharat türüdür. Dağ kekiği özellikle diş ve diş eti hastalıklarına karşı tavsiye edilir.
47
- Bu konuda Prof. Dr. İbrahim Saraçoğlu diş eti çekilmesi, diş etleri iltihabına, ve dişteki kanamalara karşı dağ kekiği kürü öneriyor. Diş Eti Hastalıklarına, Dağ Kekiği Suyu ile Gargara Yapılması Diş eti çekilmesine iyi gelir..
57
- Cezveye koyduğunuz 1 bardak suyun üzerine ortalama bir tutam yani 1 tatlı kaşı dağ kekiği koyarak 5 -10 dakika kaynatın . Daha sonra ocağı kapatarak ılınmasını bekleyin. Daha sonra süzerek kullanabilirsiniz.
67
- Bu doğal kekik suyu ile gün içerisinde gargara ve diş fırçalama yaparak diş eti iltihaplarına diş eti çekilmesine ve diş kanamalarına engel olabilirsiniz. (Posta)
77


Flipboard





