- Çin’de bir adamın beyninde 15 yıldır yaşayan bir tenya bulundu. 12 santimetre uzunluğundaki tenyayı çıkaran doktorlar bile gördüklerine inanamadı.
15
- ÇİN’de Wang Lei adında bir adam ilk olarak 2007’de sol tarafında uyuşukluk hissetmeye başladı ve o zamandan beri tedavi edilemeyen bir dizi ağrı ve şikayetle boğuşmaya başladı. Çok sayıda uzmana göründü, defalarca testlere tabi tutuldu, ilaçlar verildi. Ancak şikayetleri bitmedi. En son kötü huylu bir beyin tümörü olduğu teşhisi konuldu.
25
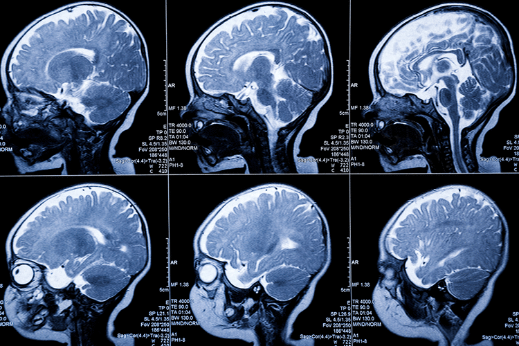
- Ancak teşhis ve tedavilere karşın genç adamın durumu kötüleşmeye devam etti ve sık sık nöbet geçirme ve göz kararması çekmeye başladı. Tümörün niteliği ve neden geliştiğini araştırmaya başlayan doktorlar şoke edici bir gerçekle karşılaştılar. Whag Lei’nin beyninde 12 santimetre uzunluğunda bir tenya yaşıyordu. 2018 yılında, doktorlar Lei’nin beyninde tenya yaşadığını keşfetti ve hastaya parazitin işlem yapmasının riskli bir bölgede olduğu düşünüldüğü için cerrahi olmayan bir tedaviye başlaması önerildi. Ancak ilaçlı tedavi işe yaramayınca ameliyat kaçınılmaz oldu.
35
- Guangdong Sanjiu Beyin Hastanesi’nde 2 saatlik ameliyatın ardından, sağlık görevlileri raporlara göre, kedilerin ve köpeklerin bağırsaklarında yaygın olarak bulunan fakat nadiren insanlarda görünen Sparganum mansoni paraziti çıkardılar. Ameliyatı yapan doktorlar, “Canlı tenya beyinde hareket ediyordu ve hepsini çıkarmak zorunda kaldık, aksi halde kalan kısım tekrar büyüyebilirdi” açıklaması yaptı. Parazitlerden nasıl korunmak gerekir? İnsanlar, iyice pişirilmesi gereken kurbağaları, salyangozları ve yılanları pişirirken dikkatli olmalıdırlar. Ayrıca, kaynatılmadıkça doğal ortamlardan su içmeyin.(Posta)
45
55


Flipboard





