Ağzınızdan gelen kötü bir koku, kötü hijyen veya diş eti hastalığına işaret edebilir. Bazen hoş olmayan bir kokuyu kendimiz fark etmeyiz ancak konuştuğunuz insanlar kokuyu alabilirler. Bu durumda, test etmenin kolay bir yolu vardır:
Bileğinizin içini yalayın.
5-10 saniye bekleyin.
Bileğinizi koklayın.
Dilinizin arkasını bir parmak veya bir parça pamuk kullanarak da temizleyebilirsiniz. Öğürme refleksinizi tetiklemeyecek kadar ileri gitmemeye çalışın.
DİŞ FIRÇALADIKTAN SONRA HEMEN BİR ŞEY İÇMEK
Tabii sabah dişlerinizi fırçaladıktan sonra bir şeyler yiyip içeceksiniz. Ancak diş fırçanızın aromasının günün son tadı olması çok önemlidir. Uyumadan hemen önce çay içmek bile dişlerinizi olumsuz etkileyebilir.
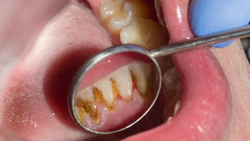
YETERİNCE UZUN FIRÇALAMAMAK
Her gün dişleriniz için sadece 30 saniye harcamak, pek de iyi bir sonuca götürmez. Çürüklere ve diğer diş sorunlarına neden olabilir. Ağzın 4 çeyreğinin her birinde en az 30 saniye geçirmenin bir kuralı vardır. Temel olarak, tüm ağız için 2 dakikadır.
ÇOK SERT FIRÇALAMAK
Dişlerinizi parlatmak için dişleri çok sert fırçalama eğiliminde olabilirsiniz. Maalesef bunu yaparak sadece diş minenize zarar verebilir ve dişlerinizi hassaslaştırabilirsiniz. Size uyan doğru diş fırçasını seçmek de önemlidir. En iyisi diş hekiminize danışmaktır.
YEMEKTEN SONRA HEMEN DİŞ FIRÇALAMAK
Unutmayın ki yemekten hemen sonra dişlerinizi fırçalamak diş minesini olumsuz etkileyebilir, özellikle de asitli bir şey tüketmişseniz. Yaklaşık 30 dakika dişlerinizi fırçalamaktan kaçınmalısınız.
DİŞ FIRÇANIZI DEĞİŞTİRMEMEK
Araştırmacılara göre normalde diş fırçanızı 3 ayda bir değiştirmeniz önerilir. Aksi takdirde, kıllar yıpranır ve dişlerinize zarar verir.
HASTA OLDUĞUNUZDA DİŞ FIRÇANIZI DEĞİŞTİRMEMEK
Diş fırçası ağızdaki bakterileri öldürmez. Hasta olduğunuzda, daha sonra ikinci kez bir hastalığa yakalanmamak için fırçanızı değiştirin. Ve hasta olduğunuz zamanı çevreleyen günlerde diş fırçasının diğer diş fırçalarına dokunmamasına dikkat edin.

Flipboard