DOLAR:
42,93
EURO:
50,60
ALTIN:
6.227
BIST:
11.294
°C
İstanbul
Ankara
izmir
Adana
Adıyaman
Afyon
Ağrı
Aksaray
Amasya
Antalya
Ardahan
Artvin
Aydın
Balıkesir
Bartın
Batman
Bayburt
Bilecik
Bingöl
Bitlis
Bolu
Burdur
Bursa
Çanakkale
Çankırı
Çorum
Denizli
Diyarbakır
Edirne
Elazığ
Erzincan
Erzurum
Eskişehir
Gaziantep
Giresun
Gümüşhane
Hakkari
Hatay
Mersin
Iğdır
Isparta
Kahramanmaraş
Karabük
Karaman
Kars
Kastamonu
Kayseri
Kırıkkale
Kırklareli
Kırşehir
Kilis
Kocaeli
Konya
Kütahya
Malatya
Manisa
Mardin
Muğla
Muş
Nevşehir
Niğde
Ordu
Osmaniye
Rize
Sakarya
Samsun
Siirt
Sinop
Sivas
Şanlıurfa
Şırnak
Tekirdağ
Tokat
Trabzon
Tunceli
Uşak
Van
Yalova
Yozgat
Zonguldak
OLAY
GALERİ
OLAY
VİDEO
YAZARLAR
Bursa
Merkez
İnegöl
Gemlik
Büyükorhan
İznik
Harmancık
Karacabey
Mudanya
Keles
M.Kemalpaşa
Orhaneli
Orhangazi
Yenişehir
Kestel
Gürsu
Bu sözleşmede Bursa’nın da imzası var
Bursa’da hedefleri gençlik olan dernek
Bursa Büyükşehir’in borçlarıyla ilgili Başkan Bozbey’den hatırlatma; ‘Bütün frenleme ve engellemelere rağmen…’
Bursa’da ‘Bursevi’nin İzinde’ belgeselinin özel gösterimi yapıldı
Bursa’da o yol kar nedeniyle kapandı! Araçlar mahsur kaldı
TÜMÜ
Gündem
Ekonomi
Siyaset
Dünya
Resmi İlanlar
SON DAKiKA
Bu sözleşmede Bursa’nın da imzası var
Bursa’da hedefleri gençlik olan dernek
Bursa Büyükşehir’in borçlarıyla ilgili Başkan Bozbey’den hatırlatma; ‘Bütün frenleme ve engellemelere rağmen…’
Bursaspor yeni transferi duyurdu
BALGÖÇ’te Emin Balkan güven tazeledi
Bursa’da yeni haftada kar yağacak mı? İşte son tahminler…
Reklamı Kapat ▲
Gündem HABERLERİ
İki kadın metrobüs asansöründe mahsur kaldı
1 yaşındaki Fatmagül’ün acı sonu
Midesinden 900 gram uyuşturucu madde çıktı
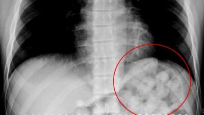
Mide bulandıran olay! Gün yüzüne çıktı…
Nisan ayında bizi ne bekliyor? 3 ile dikkat çekti!
Risk haritasında kırmızıya boyanan ilde Valilik harekete geçti
ABD’deki reklam panolarında Türkiye aleyhtarı ilanı verenler hakkında soruşturma
Mavi Vatan’dan ‘Çelikten kaledir donanmamız’ mesajı
81 ile yazı gönderildi! Normalleşme yolunda dev adım
‘Sokağa çıkma kısıtlaması ihlali’ cezası iptal edildi!
Milli Eğitim Bakanlığı paylaştı! Flaş açıklama…
Korku dolu anlar! 8 kişi ölümden kurtarıldı
Tacizi anlattı! ‘Sen akıllı bir kadınsın bu olayı abartma’
Yine cenaze vakası! 40 kişi koronavirüse yakalandı
Cumhurbaşkanı Erdoğan’dan önemli açıklamalar…
Vali uyardı! ’15 gün sonra kapatmak zorunda kalacağız’
Bursa’da ‘yeşil alan’ polemiği! Nilüfer’den Büyükşehir’e çarpıcı cevap…
Acı haber! Maden ocağında göçük: 1 ölü
Kafe ve restoranlar açılmıştı… 50 il için uyarı…
Tüfekle oyun kötü bitti
‘Bu son yemeğin güzel ye’ dedi ve dehşeti yaşattı!
Bir ilde korona alarmı! Vakalar artınca okullar 10 gün tatil edildi
İnşaatta dehşet: 2 kardeşini…
Değeri 80 milyon lirayı bulan araçlar otoparkta çürüyor
Önceki
1
…
1602
1603
1604
1605
1606
…
4250
Sonraki
MESİRE ALANINA PREFABRİK YAPI TEMİNİ MAL ALIM İŞİ
BURSA
TÜMÜ
Bu sözleşmede Bursa’nın da imzası var
Bursa’da hedefleri gençlik olan dernek
Bursa Büyükşehir’in borçlarıyla ilgili Başkan Bozbey’den hatırlatma; ‘Bütün frenleme ve engellemelere rağmen…’
Bursa’da ‘Bursevi’nin İzinde’ belgeselinin özel gösterimi yapıldı
Bursa’da o yol kar nedeniyle kapandı! Araçlar mahsur kaldı
Bursa’da silahlı kavga
Bursa Uludağ’da trafik çilesi
Bursa’da panik anları! Alev alev yandı
1
2
3
4
5
6
7
8
GÜNDEM
TÜMÜ
Birçok ilde eğitime ‘kar’ molası
Cezaevinden tahliye olduktan sonra… Eşini boğup boş araziye gömmüş
Bolu Dağı geçişinde yoğun kar yağışı
18 yaşındaki Üzeyir’in kahreden sonu
Uzungöl’de kar yağışı sonrası seyirlik manzara
Makas atan sürücü bariyerlere çarptı
DEAŞ terör örgütünü öven kişi yakalandı
Erciyes’te hafta sonu yoğunluğu
Mersin’de aralık sonunda deniz keyfi
17 ilde yoğun kar: 4 binden fazla yol ulaşıma kapandı
BURSASPOR
TÜMÜ
Bursaspor’a değer katan transfer!
Bursaspor bu alanda da zirveye oynuyor!
Bursasporlu futbolcu o günü iple çekiyor!
Cenk Tosun, Bursaspor’a gelecek mi?
Bursaspor gaza basıyor!
Bursaspor yeni transferi duyurdu
UltrAslan Teksas’ı ağırladı
Bursaspor bir transferi daha bitirmeye çok yakın!
1
2
3
4
5
6
7
8
Veri politikasındaki amaçlarla sınırlı ve mevzuata uygun şekilde çerez konumlandırmaktayız. Detaylar için veri politikamızı
inceleyebilirsiniz..
X