Van’dan Ankara’ya gelen İran uyruklu O. Zadeh Ahmed Narziveh, AŞTİ’de fenalaştı ve haber verilmesi üzerine 112 Acil Servis ekipleri tarafından Ankara Şehir Hastanesi’ne kaldırıldı.
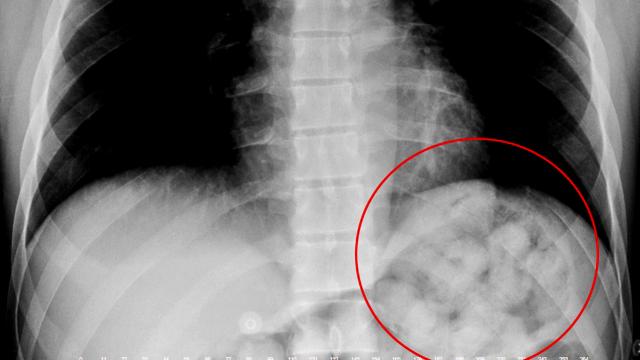
Narziveh’in röntgen filmlerinde midesinde uyuşturucu madde kapsülleri görüldü. Bunun üzerine Narziveh mahkeme kararıyla ameliyata alındı.
Ameliyatın ardından şüphelinin midesinden ikisi patlamış halde 72 kapsül içerisinde yaklaşık 900 gram metamfetamin çıkarıldı.
Zanlı, 5 günlük tedavisinin tamamlanmasıyla Ankara Emniyet Müdürlüğü Narkotik Suçlarla Mücadele Şube Müdürlüğü ekiplerince adliyeye sevk edildi.
AA

Flipboard