DOLAR:
42,95
EURO:
50,64
ALTIN:
6.032
BIST:
11.150
°C
İstanbul
Ankara
izmir
Adana
Adıyaman
Afyon
Ağrı
Aksaray
Amasya
Antalya
Ardahan
Artvin
Aydın
Balıkesir
Bartın
Batman
Bayburt
Bilecik
Bingöl
Bitlis
Bolu
Burdur
Bursa
Çanakkale
Çankırı
Çorum
Denizli
Diyarbakır
Edirne
Elazığ
Erzincan
Erzurum
Eskişehir
Gaziantep
Giresun
Gümüşhane
Hakkari
Hatay
Mersin
Iğdır
Isparta
Kahramanmaraş
Karabük
Karaman
Kars
Kastamonu
Kayseri
Kırıkkale
Kırklareli
Kırşehir
Kilis
Kocaeli
Konya
Kütahya
Malatya
Manisa
Mardin
Muğla
Muş
Nevşehir
Niğde
Ordu
Osmaniye
Rize
Sakarya
Samsun
Siirt
Sinop
Sivas
Şanlıurfa
Şırnak
Tekirdağ
Tokat
Trabzon
Tunceli
Uşak
Van
Yalova
Yozgat
Zonguldak
OLAY
GALERİ
OLAY
VİDEO
YAZARLAR
Bursa
Merkez
İnegöl
Gemlik
Büyükorhan
İznik
Harmancık
Karacabey
Mudanya
Keles
M.Kemalpaşa
Orhaneli
Orhangazi
Yenişehir
Kestel
Gürsu
Bursa’nın bitmesi dört gözle beklenen dev projesindeki bilmece!
Bu proje bitince Bursa-İstanbul arası kaç saat olacak?
BALGÖÇ seçimi mahkemelik mi oluyor?
Bursa’da hava kirliliği zirvesi
Bursa’da silahlı saldırı! Yaralılar var
TÜMÜ
Gündem
Ekonomi
Siyaset
Dünya
Resmi İlanlar
SON DAKiKA
Bursa’nın bitmesi dört gözle beklenen dev projesindeki bilmece!
Bu proje bitince Bursa-İstanbul arası kaç saat olacak?
BALGÖÇ seçimi mahkemelik mi oluyor?
Bursalılar dikkat! Açıklama geldi: 8 iptal var…
Bursaspor bir transferi daha açıkladı
Bursalılar dikkat! Valilik de uyardı
Reklamı Kapat ▲
Gündem HABERLERİ
3 PKK/YPG’li etkisiz hale getirildi
MSB’den terörle mücadelede kararlılık mesajı
MİT yalanıyla cinsel istismar! Okul müdürü tutuklandı
6 yaşında gelin rezaletinde ifadeler ortaya çıktı
AÖL’de toplu kopya! 60 bin öğrencinin sınavı iptal
Diyarbakır’da polis aracına saldırıyla ilgili Ömer Çelik’ten açıklama
Eski Beşiktaş Belediye Başkanı tutuklandı
Araç şarampole devrildi: 3 ölü, 2 yaralı
Diyarbakır’da bombalı saldırı: 8’i polis 9 yaralı
6’lı masa İmamoğlu için sahaya indi! Saraçhane’de kaç kişi vardı? Emniyet sayı verdi
’Demir Yumruk’ soruşturması! 3. dava Melih Karabacak grubuna açıldı
TBMM personeline iş sonu tazminatı için yasa teklifi
Ekmek Üreticileri Sendikası Başkanı Cihan Kolivar için istenen ceza belli oldu
Çareyi gezen televizyonda bulmuş! Böyle ev sahibi de kiracı da görülmedi ‘Evden çıkmaları için…’
Apart otelde korkunç olay! Biri kadın iki gencin cesedi bulundu
Bakan Bozdağ’dan 6 yaşındaki çocuğa istismar davası açıklaması
MSB: 2 PKK’lı terörist teslim oldu
‘6 yaşındaki gelin’ davasında iki tutuklama
6 yaşındaki Cennet’in öldüğü kaza: Direksiyonu kırdım ama kurtaramadım
PTT şubesinde güvenlik görevlisi kargo şefini öldürdü
Cumhurbaşkanı Erdoğan’dan Putin’e Esad ile zirve teklifi
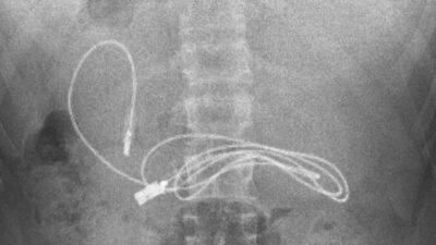
Doktor bile şoke oldu! Safra kesesinden 4 bin 536 taş çıktı
15 yaşındaki çocuğun midesinden çıkanlar şaşkına çevirdi! 1 metrelik şarj kablosu da var
Denizde can pazarı! 46 göçmen ölüme terk edildi
Önceki
1
…
831
832
833
834
835
…
4252
Sonraki
KESTEL BELEDİYESİ TARAFINDAN EKMEK SATIN ALINACAKTIR
T.C.BURSA10. ASLİYE HUKUK MAHKEMESİ
BURSA
TÜMÜ
Bursa’nın bitmesi dört gözle beklenen dev projesindeki bilmece!
Bu proje bitince Bursa-İstanbul arası kaç saat olacak?
BALGÖÇ seçimi mahkemelik mi oluyor?
Bursa’da hava kirliliği zirvesi
Bursa’da silahlı saldırı! Yaralılar var
Bursalılar dikkat! Açıklama geldi: 8 iptal var…
Bursa’da mobilya fabrikasında feci kaza
Bursa’da DEAŞ operasyonu: 8 gözaltı
1
2
3
4
5
6
7
8
GÜNDEM
TÜMÜ
Erden Timur hakkındaki sevk yazısına ulaşıldı
Birçok il ve ilçede eğitime ara
‘Futbolda bahis’ soruşturmasında 18 tutuklama
Erden Timur için tutuklama kararı
Türkiye ile Ermenistan arasında flaş karar
Şehit polisin ardından acı ayrıntı
Otomobil sulama kanalına uçtu: Cansız bedenlerine ulaşıldı
Fatih Altaylı hakkında karar!
31 Aralık yarım gün mü, 1 Ocak resmi tatil mi?
Yalova’daki terör saldırıyla ilgili paylaşımlara soruşturma
BURSASPOR
TÜMÜ
Bursaspor bir transferi daha açıkladı
Bursaspor Vakfı’na iki yeni üye
Yıldırım Belediye Başkanı Yılmaz da Bursaspor Vakfı’na katıldı
Bursaspor’un 4. transferi de belli oldu! İşte anlaşma sağlanan o isim…
Bursaspor’dan taziye mesajı
Bursaspor’a değer katan transfer!
Bursaspor bu alanda da zirveye oynuyor!
Bursasporlu futbolcu o günü iple çekiyor!
1
2
3
4
5
6
7
8
Veri politikasındaki amaçlarla sınırlı ve mevzuata uygun şekilde çerez konumlandırmaktayız. Detaylar için veri politikamızı
inceleyebilirsiniz..
X